近日,庆云县人民医院泌尿外科成功为一名“双肾盂输尿管畸形”患者完成右侧输尿管镜下钬激光碎石取石术。54岁的陈先生(化名)曾在外院手术,术中未发现输尿管结石及肾结石,遂留置输尿管支架管引流。3月27日,来该院复查,经泌尿系CTU检查明确:患者右侧肾脏区域有两个独立的肾盂和输尿管,也就是“双肾盂输尿管畸形”。


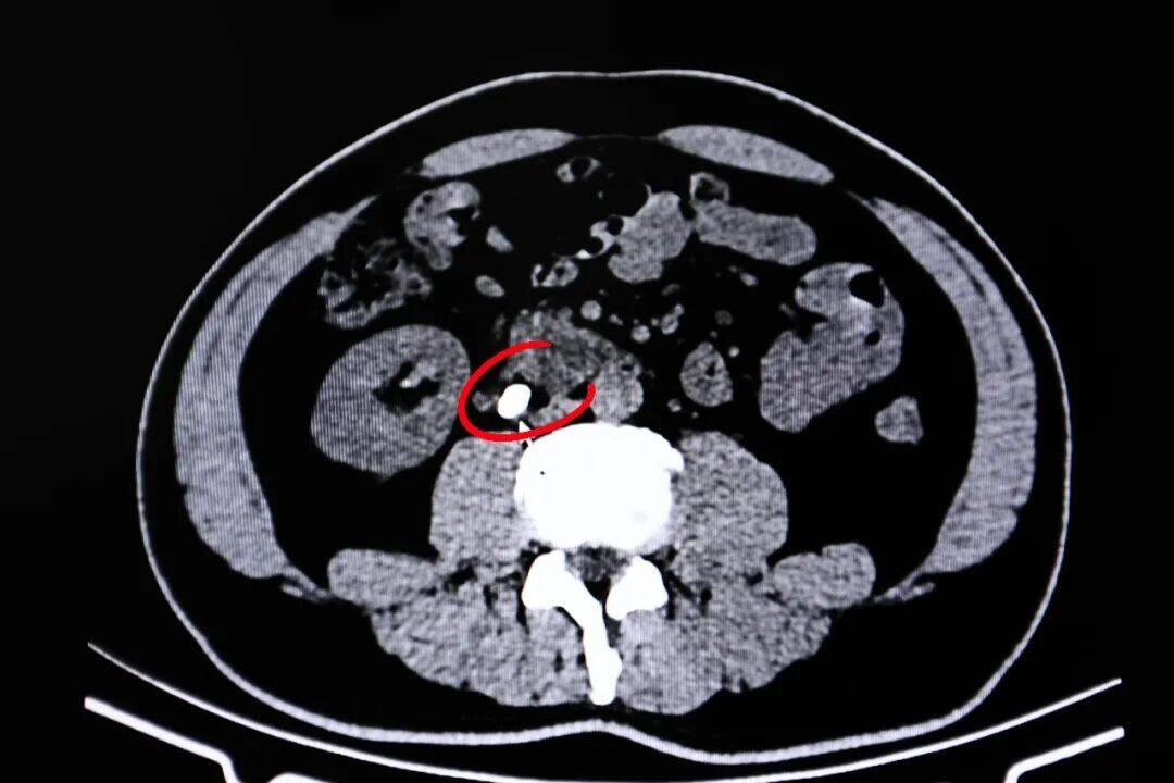
▲患者右侧双重输尿管影像
陈先生右侧的两条输尿管分别独立走行,其中一条输尿管开口位置异常,结石便隐匿在这条异常输尿管深处,这也是此前检查与手术中未能发现的根本原因。

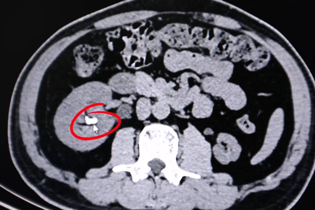
▲患者输尿管结石影像

▲患者肾结石影像
明确病因后,医院泌尿外科团队制定个性化精准治疗方案,为患者实施手术,行膀胱颈口部分电切。术中,考虑患者右侧为完全重复肾畸形,团队使用前列腺电切镜于膀胱颈口黏膜隆起处进行电切,暴露出隐藏的输尿管,在输尿管镜下应用钬激光碎石,解除输尿管梗阻后,将结石精准粉碎并取出。术后患者恢复良好,顺利康复。
泌尿外科温馨提醒:
当反复结石、治疗效果不佳时
需警惕泌尿系统先天畸形
精准诊断是治疗关键
如出现泌尿系不适
请及时就医
避免延误病情!

科室简介泌尿外科病区位于住院部南区14楼,科室医疗设备先进齐全,拥有输尿管软镜、输尿管硬镜、经皮肾镜、膀胱镜、前列腺电切镜、电子腹腔镜、体外冲击波碎石机、气压弹道碎石机、大功率钬激光碎石切割设备等一大批国内外高新尖先进设备。


擅长微创手术治疗各类泌尿外科疾病,包括泌尿系统结石的微创手术和无创治疗、腹腔镜下各类泌尿系统肿瘤手术、前列腺增生的微创手术治疗的各类手术等。尤其擅长前列腺电切术,经尿道钬激光前列腺剜除术,经尿道前列腺扩裂术等前列腺相关手术及经尿道输尿管镜气压弹道、钬激光碎石取石术,经皮肾镜超声钬激光碎石取石术及泌尿男科的特色诊疗(如男性患者的性功能障碍、阳痿、早泄、前列腺炎、精囊炎及不孕不育等)。